Patrizia Salvestrini

Patrizia Salvestrini

Sección optometría clínica y contactología.

Tratamiento oral con omega-3, ¿puede mejorar el confort en usuarios de lentes de contacto?

Tratamiento sintomatológico de la diplopia con lentes de contacto de diseño especial.

lentes de contacto

Control de los cambios corneales producidos por el uso de lentes de contacto.

Adaptación de lente de contacto tórica: sistema de estabilización.

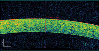
Controles corneales en la adaptación de lentes de contacto: OCT tecnología a nuestro alcance.

Disconfort en el uso de lentes de contacto: Causa principal de abandono.

Frecuencia de parpadeo y su importancia en portadores de lentes de contacto

Prevención de lesiones oculares: protección de tus ojos.

Filtro UV, imprescindible protección ocular en lentes de contacto y gafas.

Limpieza, mantenimiento y supervisión de las lentes de contacto: Claves para tu seguridad.

Viajar con lentes de contacto: Cómo preparar tu Kit de viaje.

Lentes cosméticas: riesgo de adhesión bacteriana.

Solicitar cita online

Rellena el siguiente formulario y nosotros nos pondremos en contacto contigo en el plazo más breve posible. Más información en el 950 21 71 71 o en el 950 65 98 01

Nombre y apellidos