Corticoides tópicos en el manejo de la queratitis por Acanthamoeba

Categorías
del blog

Categorías

Noticias
relacionadas

La queratitis por acanthamoeba es una de las infecciones corneales más devastadoras que se conocen. A menudo se asocia con inflamación corneal severa e importante dolor. Los corticoides tópicos a veces son prescritos, tras un periodo de terapia antiamebiana, en ojos con inflamación persistente evidenciada por escleritis, reacción de cámara anterior, infiltrados en anillo o coriorretinitis, los cuales pueden resultar en perdida permanente de visión.

Trofozoito de Acanthamoeba
Trofozoito de Acanthamoeba

Los corticoides tópicos pueden mejorar la calidad de vida de estos pacientes aliviando el dolor, limitando la aparición de neovascularización corneal y de escleritis (que se asocia a un peor pronostico), disminuyendo la inflamación estromal severa (que puede conducir a perforación) o minimizando la necesidad de enucleación por ojo ciego doloroso.

Sin embargo, los corticoides también podrían potenciar la infección disminuyendo la respuesta inmune natural, lo cual podría empeorar el pronóstico de esta infección. Es por ello que no hay un acuerdo entre facultativos en torno al papel pueden jugar los corticoides tópicos en el manejo de esta patología.

En un estudio previo realizado por los mismos autores se vio que el uso de corticoides tópicos previo al inicio de la terapia antiamebiana se asocia a un peor resultado visual en términos de agudeza visual, perforación corneal o necesidad posterior de queratoplastia.

Quiste de Acanthamoeba
Quiste de Acanthamoeba

En este post os presento un estudio de cohortes retrospectivas realizado por la Dra. Nicole Carnt y colaboradores del Moorfields Eye Hospital de Londres y publicado este mes en la revista Ophthalmology para evaluar el impacto de los corticoides tópicos en los resultados visuales de la queratitis por acanthamoeba cuando se utilizan de forma concomitante con la terapia antiamebiana. Para ello se recogieron y analizaron los datos médicos de 196 pacientes diagnosticados y tratados de queratitis por acanthamoeba en el Moorfields Eye Hospital de Londres entre los años 1991 y 2012. Se realizó un análisis de regresión logística multivariante, controlando los factores de confusión, para calcular la odds ratio (razón de probabilidades) de resultado visual subóptimo cuando se usaron corticoides tras terapia antiamebiana en queratitis por acanthamoeba. Se definió el resultado visual subóptimo como agudeza visual final inferior a 0.4, perforación corneal o necesidad posterior de queratoplastia.

La mayoría de los pacientes fueron tratados con una biguanida: clorhexidina 0.02% o PHMB 0.02% con o sin el uso de una diamidina: propamidina 0.1% o hexamidina 0.1%. Este tratamiento se mantuvo un mes tras la retira de los cortioides tópicos. Los corticoides tópicos típicamente se iniciaron tras 2 semanas del inicio de la terapia antiamebiana con una frecuencia de 4 veces al día.

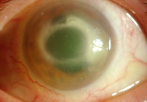
Queratitis por Acanthamoeba con infiltrado anular
Queratitis por Acanthamoeba con infiltrado anular

Tras el análisis estadístico se vio que el uso de corticoides tópicos TRAS el inicio de la terapia antiamebiana no se asoció a un resultado visual subóptimo (OR 1.08, P = 0.881). Sin embargo, si se asoció a un aumento de riesgo de  resultado visual subóptimo el uso de corticoides tópicos ANTES de la terapia antiamebiana (OR 3.85, P=0.012), los estadios más avanzados de la enfermedad (OR 5.89, P=0.032) y la edad avanzada de los pacientes (OR 4.02, P=0.007).

Los autores concluyen por lo tanto que el uso corticoides tópicos TRAS el inicio de la terapia antiamebiana no se asocia a un mejor o peor resultado visual. El valor de este estudio es que aporta datos que deberían tranquilizar a facultativos y pacientes acerca de que el uso de corticoides tópicos para controlar el dolor y la inflamación en la queratitis por Acanthamoeba no se asocia a un peor pronostico cuando estos se utilizan tras un periodo prudencial de tratamiento con terapia antiamebiana adecuada.

Será interesante investigar otros beneficios potenciales del uso de los esteroides, como la mejor resolución de complicaciones inflamatorias en esta patología.

 

Si tienes alguna pregunta, duda o comentario puedes escribirnos en nuestro muro de facebook:

Muro Facebook

Referencias:

Carnt N, Robaei D, Watson Sl, Minassian Dc, Dart Jk. The Impact Of Topical Corticosteroids Used In Conjunction With Antiamoebic Therapy On The Outcome Of Acanthamoeba Keratitis. Ophthalmology. 2016 Mar 4. Pii: S0161-6420

Solicitar cita online

Rellena el siguiente formulario y nosotros nos pondremos en contacto contigo en el plazo más breve posible. Más información en el 950 21 71 71 o en el 950 65 98 01

Nombre y apellidos