¿Qué es una membrana epirretiniana?
La membrana epirretiniana es una proliferación fibrosa delante de la zona más sensible y de máxima visión de la retina, es decir, la mácula.
Esta membrana fibrosa distorsiona la retina y provoca pliegues en la misma, así como un acúmulo de líquido en su interior (edema).
Es sin duda, al menos en nuestro medio, la enfermedad más frecuente dentro de las enfermedades de la interfase vítreo-macular.
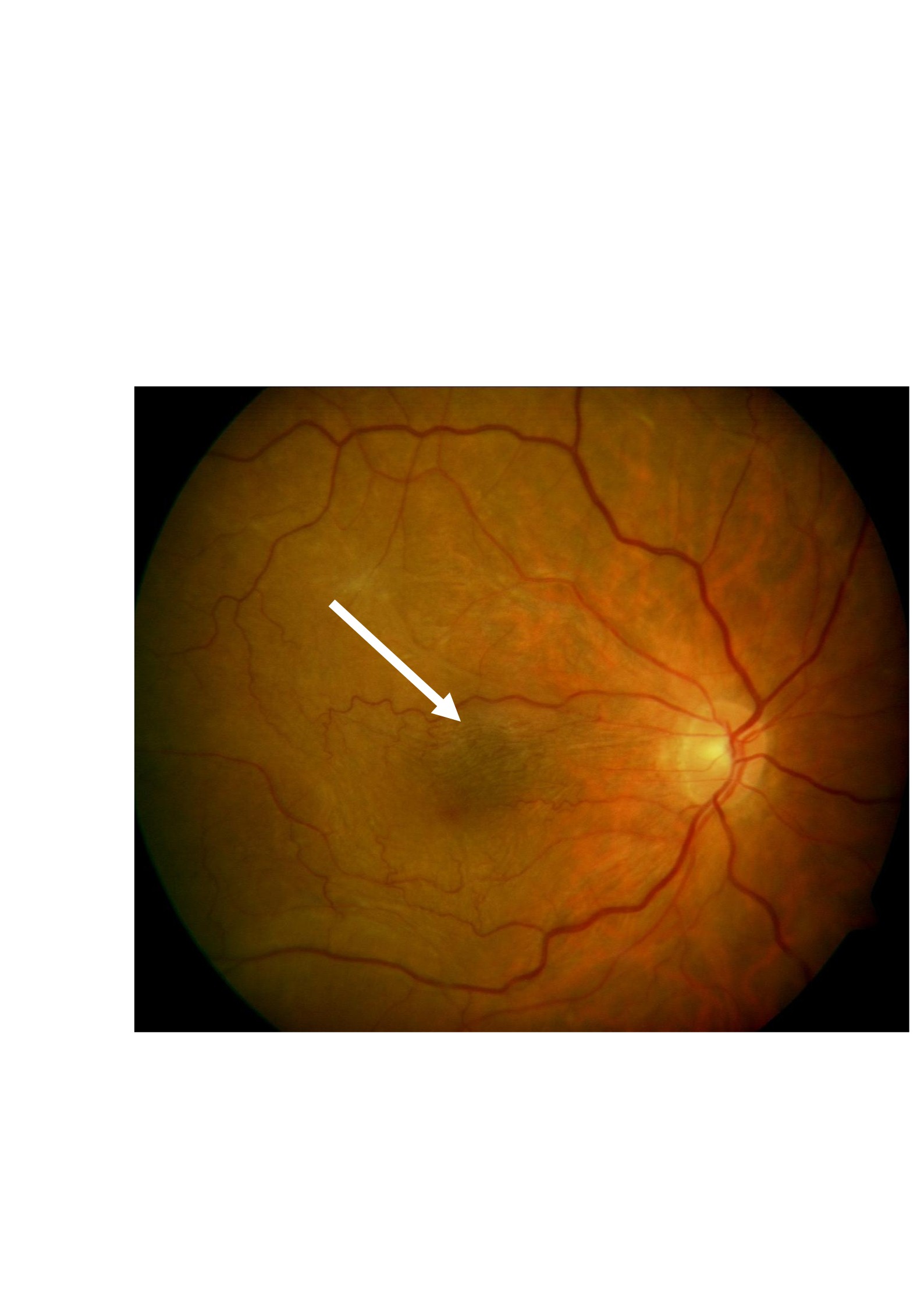
En la fotografía os presentamos un caso nuestro antes de ser operado mediante vitrectromía.
¿Por qué se forma una membrana epirretiniana?
El origen de esta enfermedad se debe como os hemos comentado en entregas anteriores a un desprendimiento vítreo posterior incompleto , de forma que un resto de córtex vítreo sobre la mácula actúa como “un andamio” sobre el que se organiza la proliferación fibrosa.
Los trabajos de Silvia Bopp en Alemania han resultado esclarecedores a este respecto.
Por lo tanto muchos pacientes han notado meses atrás de aparecer esta enfermedad la aparición de “moscas volantes”. Otras veces aparece después de un traumatismo, una cirugía de desprendimiento de retina…
¿Cómo se manifiesta una membrana epirretiniana?
Los pacientes acusan una pérdida de agudeza visual y metamorfopsia (es decir, las líneas rectas las ven onduladas).
¿Cuándo debe operarse una membrana epirretiniana?
Cuando el paciente percibe un gran deterioro de su visión en los últimos meses. No todos los pacientes deben operarse debido a que la enfermedad permanece estable con buena agudeza visual en muchos casos y no progresa. En general, se suele admitir que deben ser operadas cuando la agudeza visual disminuye a 0,3, es decir a un 30%).
¿Cómo las operamos en el Hospital Virgen del Mar?
Considerando que su origen es común a las otras enfermedades de la interfase vítreo-macular, siempre tenemos presente que puede existir un resto de córtex vítreo delante de ellas que impide su tinción con azul tripán y por tanto su identificación y extracción correcta. Además, aunque se encarezca la cirugía, casi simpre utilizamos también el azul brillante G que nos permite identificar y extraer la membrana limitante interna que, en muchas ocasiones, también distorsiona la mácula.
En la fotografía os presentamos el mismo caso después de ser operado donde podéis observar cómo desaparecen los pliegues de la retina.
¿Cómo actuamos cuando el paciente presenta una catarata asociada?
Esta situación es bastante común debido a que ambas son frecuentes en edades avanzadas.
En general si la catarata está avanzada preferimos operar primero la catarata debido a que puede ocurrir que el paciente presente una buena agudeza visual y no requiera de este modo una vitrectomía. No somos partidarios de una cirugía combinada, es decir operar las dos a la vez, dado que nos parece una cirugía agresiva y pensamos que muchas veces empeora el edema macular provocando un mala recuperación de la agudeza visual.

