Debido al aumento de la supervivencia que se ha logrado en el tratamiento de muchos tumores malignos hemos asistido en la última década a un aumento en la incidencia de las metástasis intraoculares (sobre todo en la coroides).
Las metástasis coroideas provienen fundamentalmente de dos de las neoplasias malignas más frecuentes, el cáncer de mama y el cáncer de pulmón. En el caso del cáncer de mama, en la mayoría de los casos se trata de pacientes ya diagnosticadas previamente, mientras que en el cáncer de pulmón, con cierta frecuencia, son la primera manifestación del tumor.
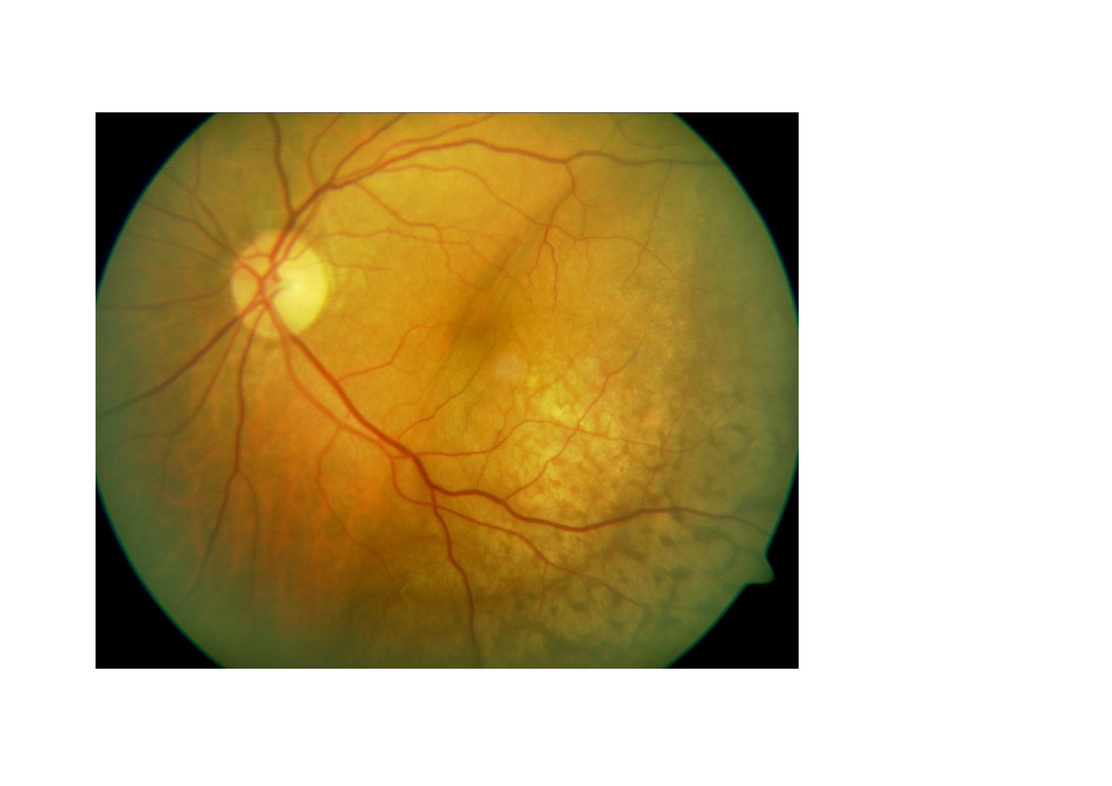
Algunas metástasis coroideas se consideran inactivas y ello puede deberse a una regresión espontánea o secundaria al tratamiento con quimioterapia del tumor original. Pero otras provocan una pérdida visual que puede llegar a ser severa. Muchas veces asocian un desprendimiento de retina exudativo como en el caso que os mostramos en la fotografía de una metástasis coroidea de un carcinoma de mama.
En estos casos es necesario un tratamiento, que hasta ahora se realizaba mediante radioterapia externa o mediante placas de radioterapia en el caso de tratarse de una metástasis única.
En el caso de radioterapia externa los efectos secundarios pueden ser severos con la aparición de catarata, neovasos, etc. que pueden llevar a la pérdida de la visión mientras que en el caso de las placas radioactivas, aunque los efectos secundarios son menores, se requieren dos intervenciones quirúrgicas.
Nos ha parecido muy interesante la noticia de una serie de 8 pacientes (9 ojos) con metástasis coroideas que han respondido favorablemente al tratamiento mediante terapia fotodinámica publicada recientemente por el Dr. Swathi Kaliki y colaboradores (Ophtalmology 2012). Consiguieron una reducción del tamaño del tumor y del líquido subretiniano en 7 de los 9 ojos con la consiguiente mejoría o estabilización de la visión.
Concluyen que la terapia fotodinámica puede ser una alternativa útil al tratamiento de los tumores metastásicos coroideos de tamaño pequeño-medio (excepto en el caso de proximidad al nervio óptico).
La terapia fotodinámica destruye selectivamente las células vasculares endoteliales causando una trombosis dentro de los vasos sanguíneos que nutren las células tumorales. Recordamos además que las metástasis coroideas están muy vascularizadas.

Las ventajas del uso de la terapia fotodinámica sobre los otros tratamientos son enormes. Evitan tratamientos muy largos (1 mes en el caso de la radioterpia externa o varios meses en el caso de la quimioterapia). Asimismo se evitan intervenciones quirúrgicas y la hospitalización del paciente pudiendo tratrarse al paciente en un sólo día. Finalmente, la terapia fotodinámica está disponible en la mayor parte de los centros oftalmológicos de todo el mundo, evitándose desplazamientos del paciente.
Si tienes alguna pregunta, duda o comentario, puedes realizarlos en nuestro perfil de facebook:
