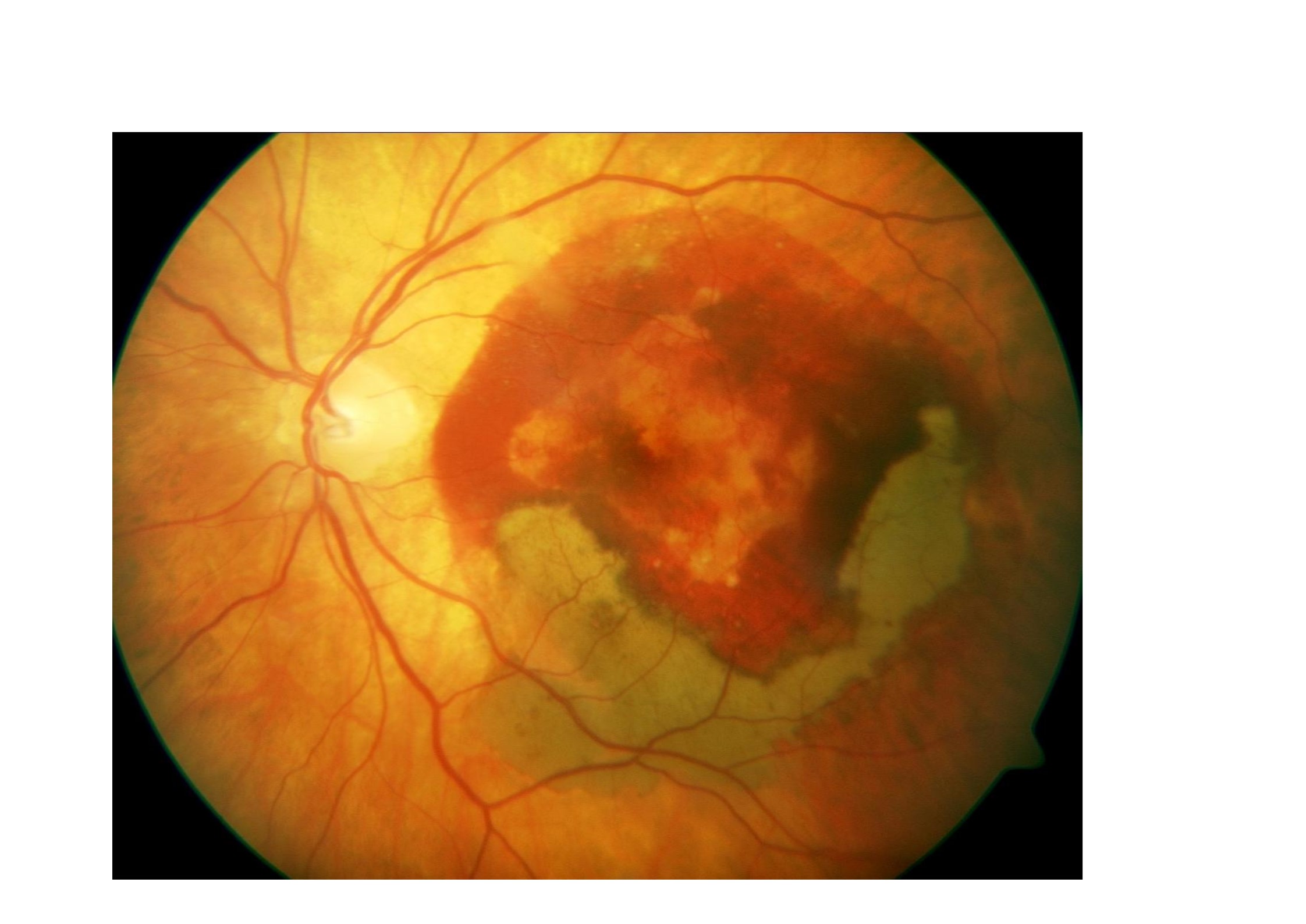
La hemorragia subretiniana en la zona de la mácula es una forma de presentación o de recidiva de la degeneración macular asociada a la edad (DMAE) exudativa que puede ocasionar una pérdida considerable de visión por pérdida severa de fotoreceptores por mecanismos desconocidos, siendo probable que los compuestos de degradación de la hemoglobina ejerzan un efecto tóxico sobre los mismos.
En los estudios ANCHOR y MARINA que demostraron el efecto beneficioso de ranibizumab en el tratamiento dela DMA exudativa se excluyeron aquellos casos que presentaban lesiones neovasculatres predominantemente hemorrágicas y el tratamiento de estas formas de DMAE exudativa mediante fármacos antiangiogénicos no estaba avalado por estudios científicos.
Como opciones de tratamiénto para estos casos se han promovido procedimientos más costosos y de mayor riesgo que las inyecciones intravítreas de fármacos antiangiogénicos: vitrectomía con evacuación de la sangre, vitrectomía con desplazamiento neumático de la sangre con o sin uso de activador tisular del plasminógeno, etc. Los resultados de estos procedimientos han sido variados y, en cualquier caso, el paciente debía asumir complicaciones potencialmente severas.
El Dr Gary Shienbaum y col., del Bascom Palmer Eye Institute en Miami (USA), han publicado un estudio de una serie de pacientes con estas características tratados solo con inyecciones intravítreas de ranibizumab y/o bevacizumab (Am J Ophthalmol 2013), habiendo obtenido unos resultados bastantes satisfactorios.
Trataron 18 ojos con hemorragia submacular de un tamaño mayor o igual al 50 % de la lesión. Encontraron una mejoría en la agudeza visual de + 12 letras en la escala ETDRS a los 3 meses, + 18 letras a los 6 meses y + 17 letras a los 12 meses de seguimiento. La media de inyecciones fue de 4,7 a los 6 meses y la reducción media del grosor foveal central fue de 755 micras a 349 micras a los 6 meses de seguimiento.
Aunque se trata de un estudio retrospectivo y de una serie pequeña consideramos de interés este artículo dado que justifica una alternativa a otras opciones más complejas, costosas y de mayor riesgo y que, además, no garantizan mejor resultado.
Si tienes alguna pregunta, duda o comentario, puedes realizarlos en nuestro muro de facebook:


