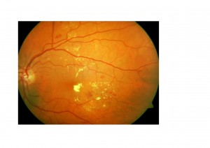
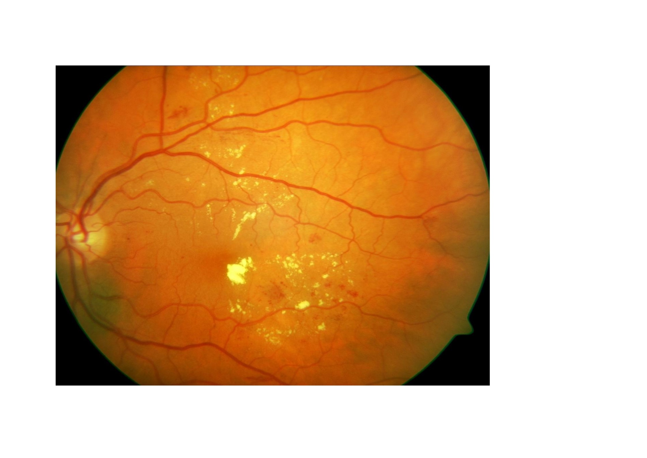
La retinopatía diabética es la 1ª causa de ceguera en personas en edad laboral en países desarrollados. En la mayoría de los casos la pérdida de visión es atribuible al edema macular diabético. Es bien conocido que un mal control de la diabetes y cifras elevadas de lípidos séricos conllevan un mayor riesgo de aparición del edema macular diabético. Además, diversos estudios han sugerido que cierto grado de inflamación podría jugar algún papel en la patogénesis de la retinopatía diabética. Por este motivo se ha intentado encontrar una correlación entre diversos biomarcadores de la inflamación como la proteína C reactiva, la molécula de adhesión intercelular 1, la molécula de adhesión celular vascular 1 y el receptor del factor de necrosis tumoral alfa. Los resultados han sido contradictorios en diversos estudios, aunque nunca se había realizado un estudio prospectivo con este fin.
Recientemente el Diabetes Control and Complications Trial (DCCT) ha realizado un estudio prospectivo, randomizado, controlado y multicéntrico (es decir, con el nivel de evidencia más elevado) del que sí se pueden obtener conclusiones fidedignas (JAMA Ophthalmol, 2013).
Dicho estudio ha encontrado una correlación entre niveles elevados de proteína C reactiva ultrasensible y la aparición de edema macular con un riesgo relativo de 1.83 desde niveles elevados de proteína C reactiva a niveles bajos de la misma. También econtraron una correlación entre niveles elevados de proteína C reactiva y de la molécula de adhesión intercelular 1 con la aparición de exudados lipídicos. No se encontró correlación del resto de marcadores con la aparición de edema macular.
Por otro lado, no se encontró correlación entre niveles elevados de proteína C reactiva ni de ninguno de los otros marcadores con la progresión de la retinopatía diabética.
La proteína C es un “reactante de fase aguda” cuyos niveles aumentan cuando ocurre algún proceso inflamatorio en nuestro organismo. La mayoría de las personas tenemos concentraciones plasmáticas de proteína C reactiva menores de 1 mg/L. Pequeñas elevaciones de la misma no son detectables mediante técnicas convencionales y por este motivo se ha desarrollado la técnica de proteína C reactiva ultrasensible. Esta técnica se usa en cardiología para conocer el riesgo de infarto de miocardio y, como ya os hemos comentado en otro post, también podría tener utilidad para conocer el riesgo de aparición de formas graves de degeneración macular asociada a la edad.
Como conclusión, cabe pensar que algún grado de inflamación está involucrado en la rotura de la barrera hemato-retiniana que existe en el edema macular diabético.
Si tienes alguna pregunta, duda o comentario, puedes realizarlos en nuestro muro de facebook:

