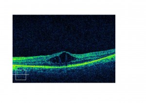
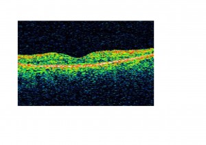
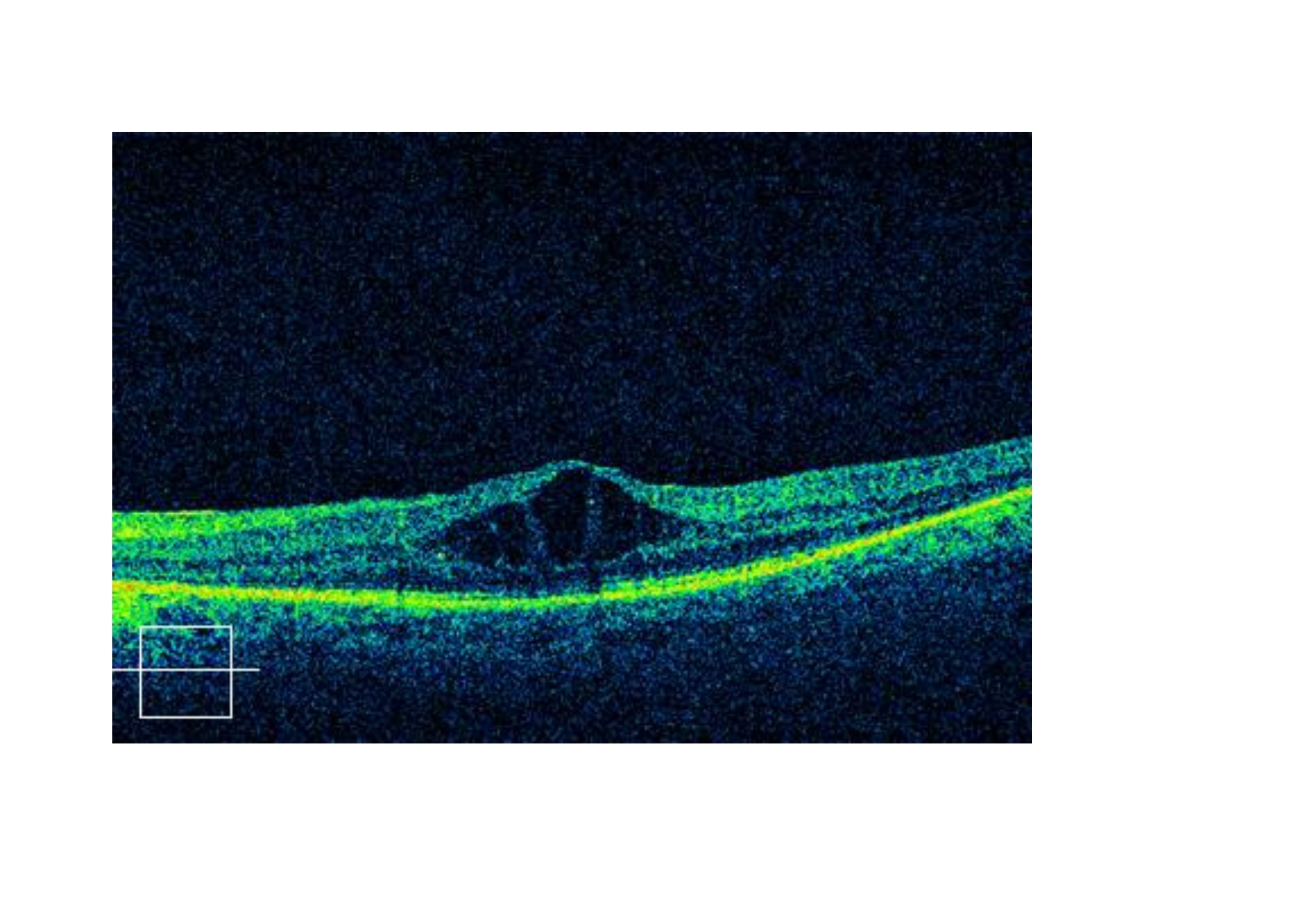
Con relativa frecuencia podemos encontrar edema macular cistoide en pacientes afectados de retinosis pigmentaria, causando pérdida visual central. Antes de la incorporación a la práctica clínica de la tomografía de coherencia óptica, muchos casos pasaban inadvertidos para los retinólogos. Nosostros sistemáticamente realizamos un cribado con OCT a estos pacientes para descartarlo. En numerosos casos hemos constatado una mejoría del edema macular tratando a estos pacientes con acetazolamida oral tal y como os mostramos en la OCT pre y post-tratamiento de un paciente atendido en nuestra clínica.
La acetazolamida oral es efectiva en el tratamiento del edema macular en diversas situaciones, entre ellas, la retinosis pigmentaria tal y como ya describió Marmor en la década de los años 80 del pasado siglo.
Además, el retinólogo estadounidense Gerald Fishman ha publicado varios artículos en la década pasada donde demuestra que los inhibidores de la anhidrasa carbónica tópicos también pueden ser útiles para su tratamiento, si bien su uso a largo plazo puede ocasionar un efecto rebote.
Recientemente el Dr. Yasuhiro Ikeda y col. de la universidad japonesa de Kyushu han publicado una serie de 18 ojos en 10 pacientes con retinosis pigmentaria afectados de edema macular quístico en los que obtienen una mejoría significativa mediante tratamiento con dorzolamida tópica al 1% 3 veces al día con un período de seguimiento de 18 meses (British Journal of Ophthalmology, 2013). En 8 de los ojos que respondieron dentro de los 6 primeros meses, la remisión persistió hasta los 18 meses de seguimiento, aunque 5 ojos mostratron recurrencia del edema.
Creemos que dado lo sencillo del tratamiento, éste debe ser ensayado en los pacientes con edema macular y retinosis pigmentaria dado que estos pacientes con pérdida visual severa pueden recuperar capacidad para lectura u otras actividades que mejoran considerablemente su calidad de vida.
Si tienes alguna pregunta, duda o comentario, puedes realizarlos en nuestro muro de Facebook:
www.facebook.com/ClinicasQvision


