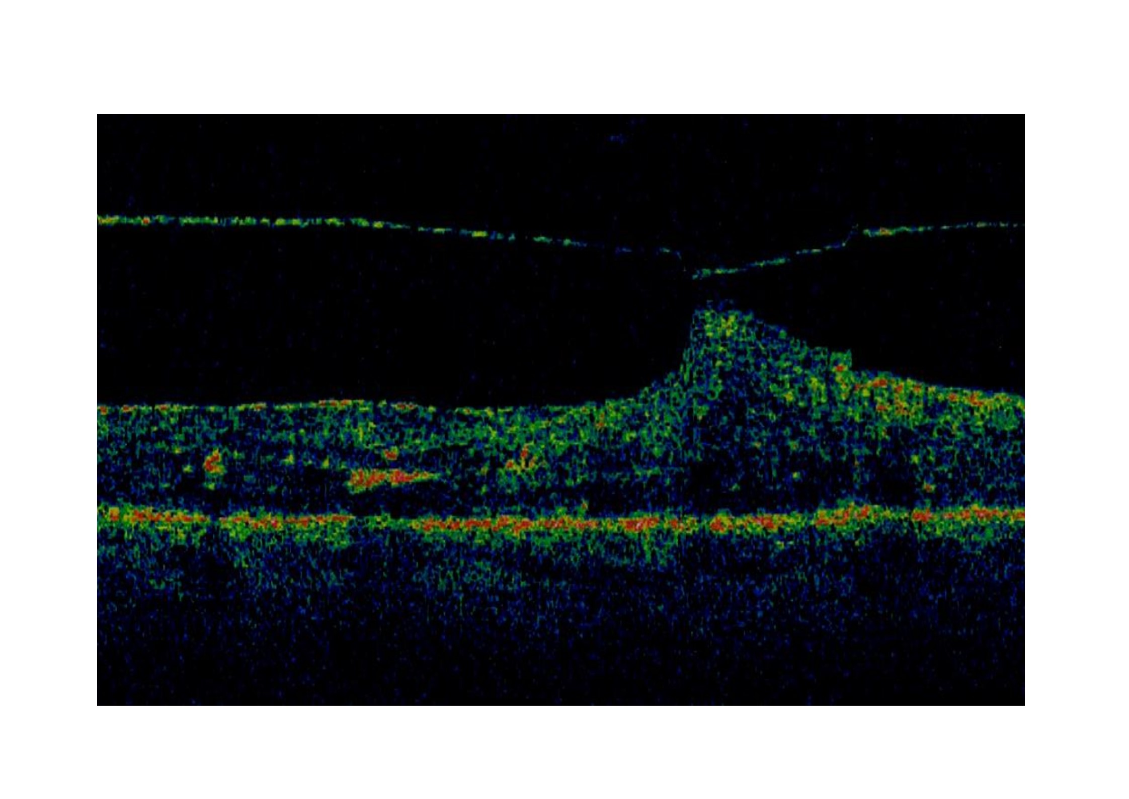
El síndrome de tracción vítreo-macular se caracteriza por un desprendimiento vítreo posterior incompleto o anómalo que provoca una tracción del vítreo residual sobre la mácula causando distorsión de la mácula y pérdida de visión, metamorfopsia, aniseiconia, visión borrosa o escotoma central. Muchas veces aocian membrana epirretiniana, edema macular cistoide o una hialoides posterior engrosada y tensa. En ocasiones puede traccionar de la retina hasta provocar un agujero macular completo.
Algunos casos, sobre todo cuando la arquitectura de la retina externa está preservada, son asintomáticos. Incluso, en un 11% de los casos, la tracción se resuelve espontáneamente, al despegarse el vítreo de la retina. Pero en muchos casos sintomáticos en que esto no ocurre puede ser necesaria la cirugía, es decir, una vitrectomía que permita despegar el vítreo y aliviar la tracción. Otras alternativas a las vitrectomía han sido la inyección intraocular de un gas (perfluoropropano), cuyos resultados se han publicado en una pequeña serie de casos no controlados (1) y más recientemente , en un estudio controlado con mayor número de pacientes, mediante el uso de ocriplasmina intravítrea, con resultados positivos (2).
Recientemente el Dr. Timothy L Jackson y col han publicado un meta-análisis de todos lo estudios relevantes hasta la fecha (392 ojos) para conocer los resultados de la vitrectomía en este padecimiento y cuyos resultados consideramos de interés a la hora de decidir con el paciente los pros y los contras de una intervención quirúrgica. En la actualidad, muchas veces las decisiones se deben tomar de acuerdo con el paciente, pues el médico desconoce cuáles son las necesidades visuales de cada paciente así como el grado de incapacitación que le provoca y sus expectativas (por ejemplo, hay síntomas que pueden ser muy molestos para realizar una vida normal como la metamorfopsia, que son imposibles de cuantificar y que sólo puede valorar el propio paciente). Nosotros sólo podemos ofrecer las estadísticas y un consejo y el paciente debe decidir si quiere operarse o no:
– La agudeza visual mejoró de media de 20/94 a 20/53 en la escala de Snellen.
– 9,2% de los casos experimentaron disminución de la agudeza visual.
– 11,7% de los casos permanecieron con la misma agudeza visual.
-64, 3 % de los casos mejoraron su agudeza visual.
–Un 32, 9% de los casos (es decir, aproximadamente 1/3 de los pacientes) experimentaron una mejoría de la agudeza visual de 2 o más líneas de Snellen (es decir, una mejoría significativa de la agudeza visual).
Las complicaciones más comunes fueron las siguientes:
-Aparición de catatas en un 63,2% de los pacientes fáquicos.
– Aparición de membrana epirretiniana en un 5,7% de los casos.
-Aparición de desprendimiento de retina en un 4,6% de los casos.
En el blog anterior os comentamos cómo una de las principales indicaciones de la inyección intravítrea de ocriplasmina será el síndrome de tracción vítreo-macular. En principio cabe pensar que será una de sus indicaciones más frecuentes cuando sean casos simples (que no asocien membrana epirretinianas por ejemplo). Esta intervención permitiría evitar algunas complicaciones tales como la catarata, pero se deberá seguir acumulando experiencia para conocer sus resultados y complicaciones potenciales.
(1) Rodrigues IA, Stangos AN, McHugh DA, Jackson TL. Intravitreal injection of expansile intravitreal injection of expansile perfluoropropane (C3F8) for the treatment of vítreo-macular traction. Am J Ophthalmol 2013;155:270-276.e2.
(2) Stalmans P, Benz MS, Gandorfer A, et al. Enzymatic vitreolysis with ocriplasmin for vitreomacular traction and macular holes. N Engl J Med 2012;367:606.
(3) Jackson TL et al . Pars plana vitrectomy for vitreomacular traction síndrome (A systematic review and metaanalysis of safety and effficacy). Retina 2013; 33:2012-2017.
Si tienes alguna pregunta, duda o comentario, puwedes realizarlos en nuestro muro de Facebook:
![]()

