El tabaquismo induce la aparición de DMAE y su progresión.

Categorías
del blog

Categorías

Noticias
relacionadas

Así lo demuestra un estudio publicado recientemente con 4.439 pacientes examinados cada 5 años durante un período de 20 años (Beaver Dam Eye Study) (1).

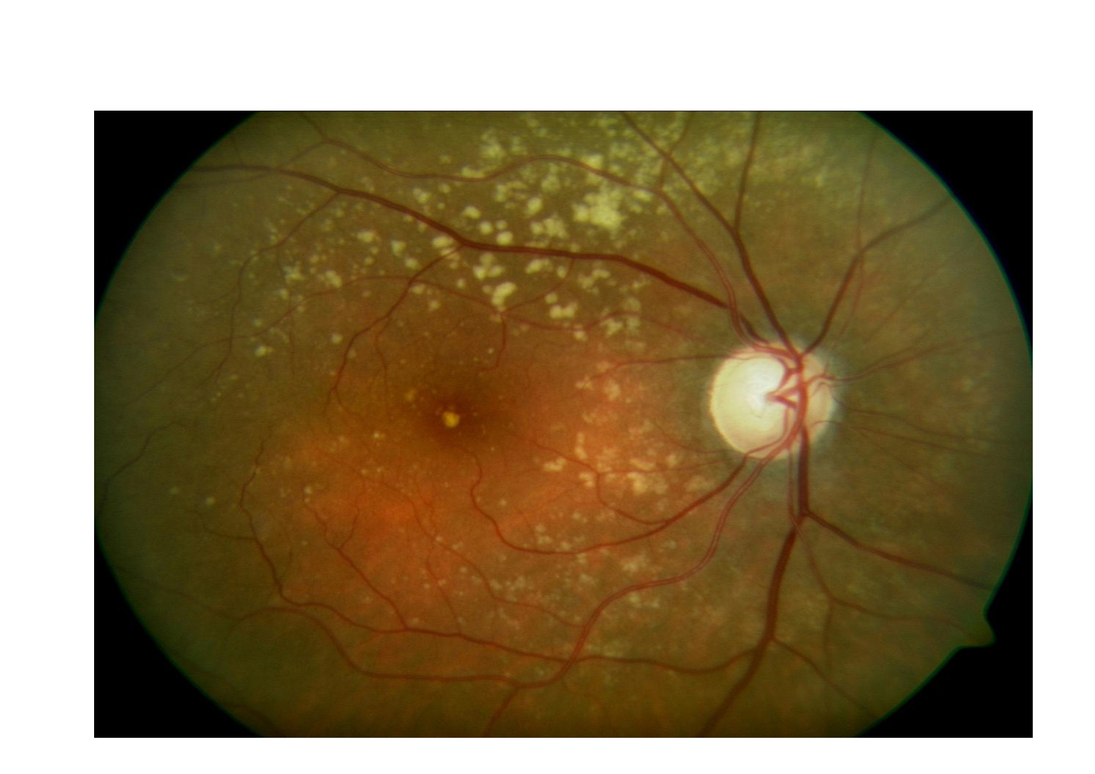
Qvision El tabaquismo induce la aparición de DMAE y su progresión. drusas 0000

 

Dicho estudio ha revelado que el hábito tabáquico se asocia con un incremento en el riesgo de transición de mínima a moderada degeneración macular asociada a la edad (DMAE) precoz. Un mayor número de cajetillas/año se relacionó con un riesgo aumentado de transición desde no DMAE a mínimamente precoz DMAE y de severa precoz DMAE a DMAE avanzada. Es decir, a mayor número de cajetillas /año existe un riesgo mayor de aparición y progresión de DMAE.

En dicho estudio no se encontró una correlación entre el hábito tabáquico o el número de cajetillas/año con los genotipos CFH y ARMS2 que predisponen a DMAE.

Qvision El tabaquismo induce la aparición de DMAE y su progresión. tabaquismo

 

 

Este estudio tan amplio y con un período de seguimiento tan prolongado viene a confirmar el consejo que  damos a nuestros pacientes afectados de DMAE para que abandonen el hábito tabáquico.

(1) Chelsea E. Myers et al. Cigarette smoking and the Natural History of Age-related Macular Degeneration: The Beaver Dam Eye Study. Ophthalmology 2014 (artículo en prensa).

 

 

Si tienes alguna pregunta, duda o comentario, puedes realizarlos en nuestro muro de Facebook:

Imagen-FACEBOOK-HVM2

 

 

Solicitar cita online

Rellena el siguiente formulario y nosotros nos pondremos en contacto contigo en el plazo más breve posible. Más información en el 950 21 71 71 o en el 950 65 98 01

Nombre y apellidos