Este es el resultado de una investigación realizada en un hospital de referencia terciario estadounidense. De 598 pacientes con uveítis investigados mediante tomografía de coherencia óptica (OCT), 246 participantes (41%) presentaban membrana epirretiniana (MER) en al menos 1 ojo. En esta cohorte, un 38% de los pacientes con MER no eran diagnosticables mediante fotografías del fondo de ojo.
Entre los diferentes subtipos de uveítis, la prevalencia fue la siguiente:
-Uveítis anterior: 28,1%.
-Uveítis intermedia: 57%.
-Uveítis posterior y panuveítis: 43,4%.
Como factores de riesgo para desarrollar MER se encontró: edad avanzada, uveítis intermedia, uveítis posterior, panuveítis, sexo varón y cirugía previa de cataratas.
Dado que la MER provoca una pérdida de visión tratable mediante cirugía, este estudio sugiere la necesidad de realizar una OCT a todos los pacientes afectados de uveítis en algún momento de su evolución.
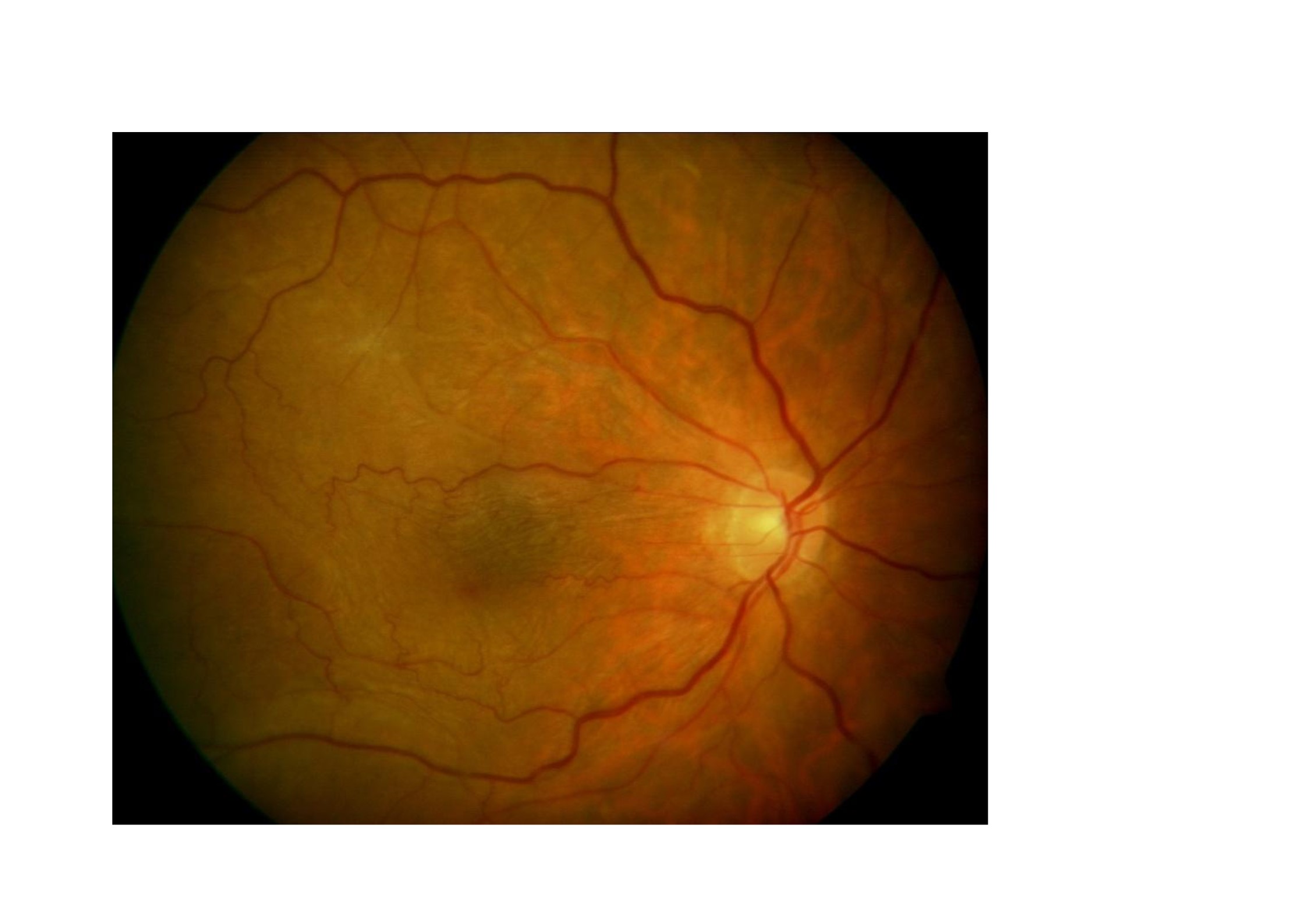
Os presentamos unas fotografías de fondo de ojo de un paciente afectado de uveítis asociada a psoriasis operado con éxito en Qvision:
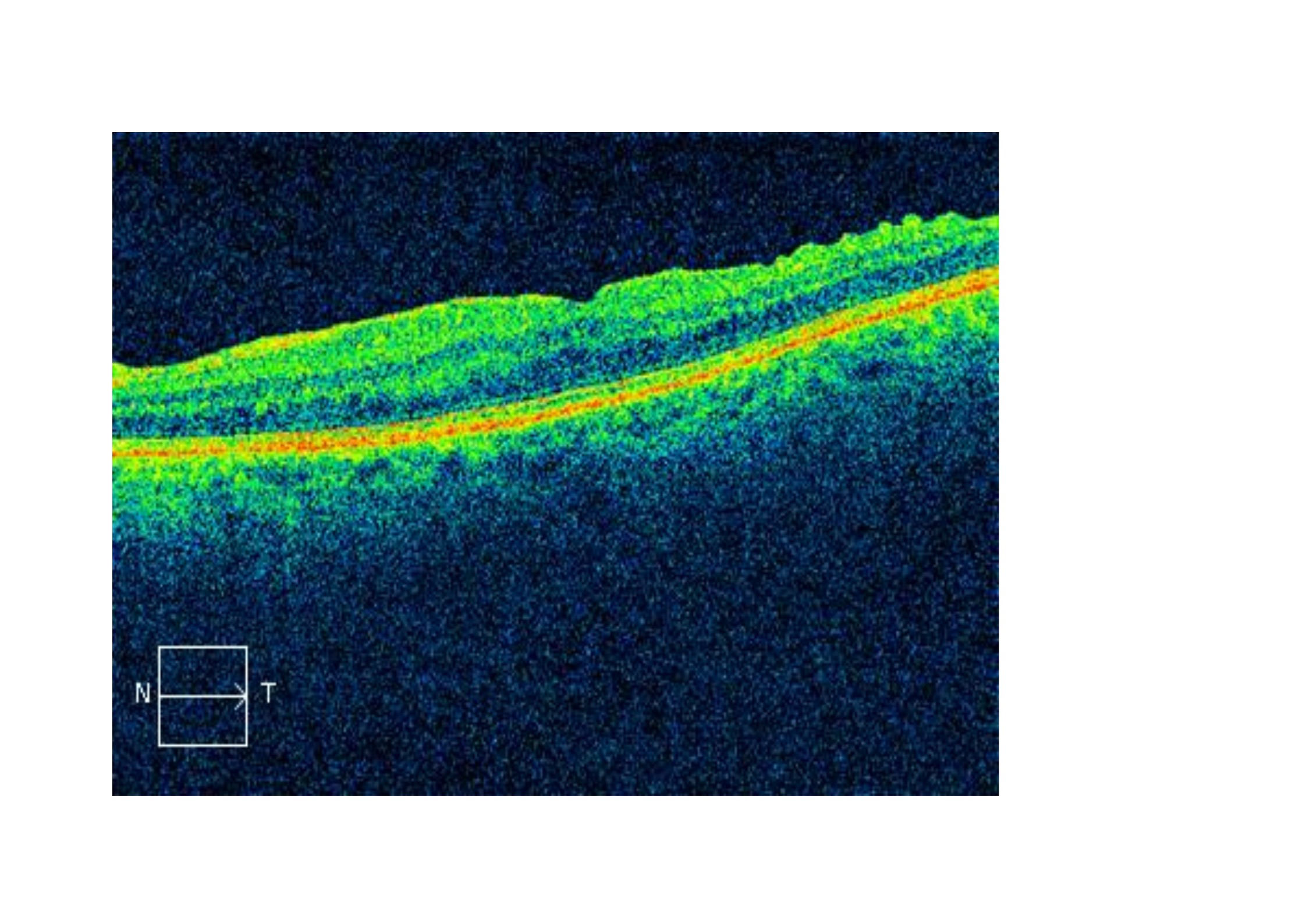
PREOPERATORIO:
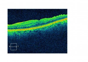
POSTOPERATORIO:
También las OCT pre y postoperatorios:
Para el abordaje de este tipo de pacientes colabora con Qvision la Dra. Elena Cuesta, magnífica especialista en Reumatología. Es necesario antes de tratar quirúrgicamente a este tipo de pacientes que la uveítis esté silente, por lo que han de ser tratados con fármacos inmunosupresores o terapia biológica. En Qvision nos sentimos afortunados por trabajar en un medio hospitalario que nos permiten tratar casos tan complejos como el que os presentamos.
(1) Benjamin P. Nicholson et al.: Epidemiology of epirretinal membrane in a large cohort of patients with uveítis. Ophthalmology 2014, artículo en prensa.
Si tienes alguna pregunta, duda o comentario, puedes realizarlos en nuestro muro de Facebook:
![]()



