Triamcinolona disminuye el grosor coroideo en el edema macular diabético.

Categorías
del blog

Categorías

Noticias
relacionadas

Investigadores japoneses han realizado un interesante estudio para evaluar el grosor coroideo subfoveal tras inyecciones intravítreas de triamcinolona (corticoide) y bevacizumab (fármaco antiangiogénico) en pacientes con edema macular diabético (1).

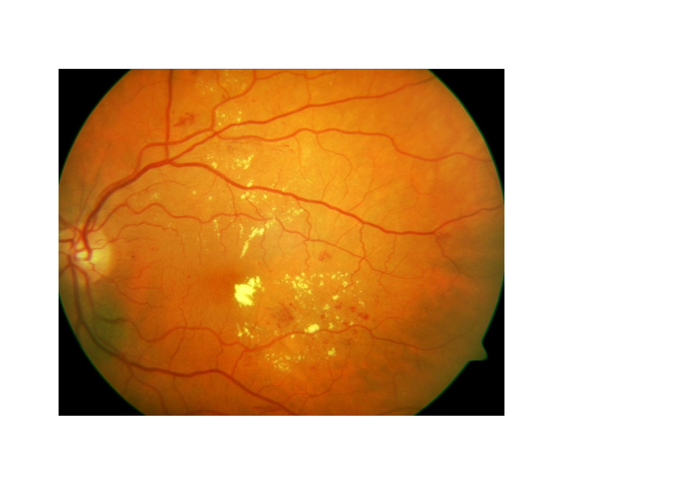
EMD_0000

 

En este estudio prospectivo, los ojos fueron randomizados para recibir triamcinolona intravítrea (25 ojos) o bevacizumab (26 ojos). Posteriormente se midió, no sólo el grosor foveal central, que es lo que hacemos habitualmente para monitorizar la respuesta,  sino también el grosor de la coroides subfoveal. Estas mediciones las realizaron a las 24 horas, 7 días y 4, 8 y 12 semanas.Pudieron comprobar que la triamcinolona provocaba una disminución del grosor coroideo subfoveal al 94,8% */- 5,6 % a las 24 horas y que se mantenía a las 12 semanas (91,8% +/- 10,5%). Sin embargo, en el grupo tratado con bevacizumab, no hubo una diferencia significativa en el grosor coroideo subfoveal a las 12 semanas.

Qvision Triamcinolona disminuye el grosor coroideo en el edema macular diabético. images?q=tbn:ANd9GcR7LtgSddScGODe8 iNBwj2C fmeNSfNNnvERpLgW7emJ7UCb ILA

 

 

Estos datos sugieren que la patología coroidea de los pacientes con edema macular diabético puede ser más   sensible a la terapia con esteroides que  a fármacos antiangiogénicos.

El edema macular diabético constituye en la actualidad la causa más frecuente de ceguera en pacientes diabéticos. Muchos de sus mecanismos patogénicos permanecen desconocidos y estudios como éste podrán contribuir en un futuro a alcanzar tratamientos cada vez más efectivos.

(1) S Sonoda et al: “Effect of intravitreal triamcinolone acetonide or bevacizumab on choroidal  thickness in eyes with diabetic macular edema” ; Invest Ophthalmol Vis Sci 2014; artículo en prensa

Si tienes alguna pregunta, duda o comentario, puedes realizarlos en nuestro muro de Facebook:

Imagen-FACEBOOK-HVM2

 

 

Solicitar cita online

Rellena el siguiente formulario y nosotros nos pondremos en contacto contigo en el plazo más breve posible. Más información en el 950 21 71 71 o en el 950 65 98 01

Nombre y apellidos