La degeneración macular asociada a la edad (DMAE) tiene un fuerte componente genético, existiendo una asociación de varios genes con formas avanzadas de DMAE: CHF, ARMS2/HTRA1, CFB, C2, C3, CFI y LIPC. Pero existen diversos factores ambientales que retrasan la progresión desde formas iniciales de DMAE a formas severas: suplementos con vitaminas antioxidantes, historia de no fumador, bajo índice de masa corporal y consumo de vegetales verdes ricos en luteína/zeaxantina y pescado azul con alto contenido en ácidos grasos omega 3.
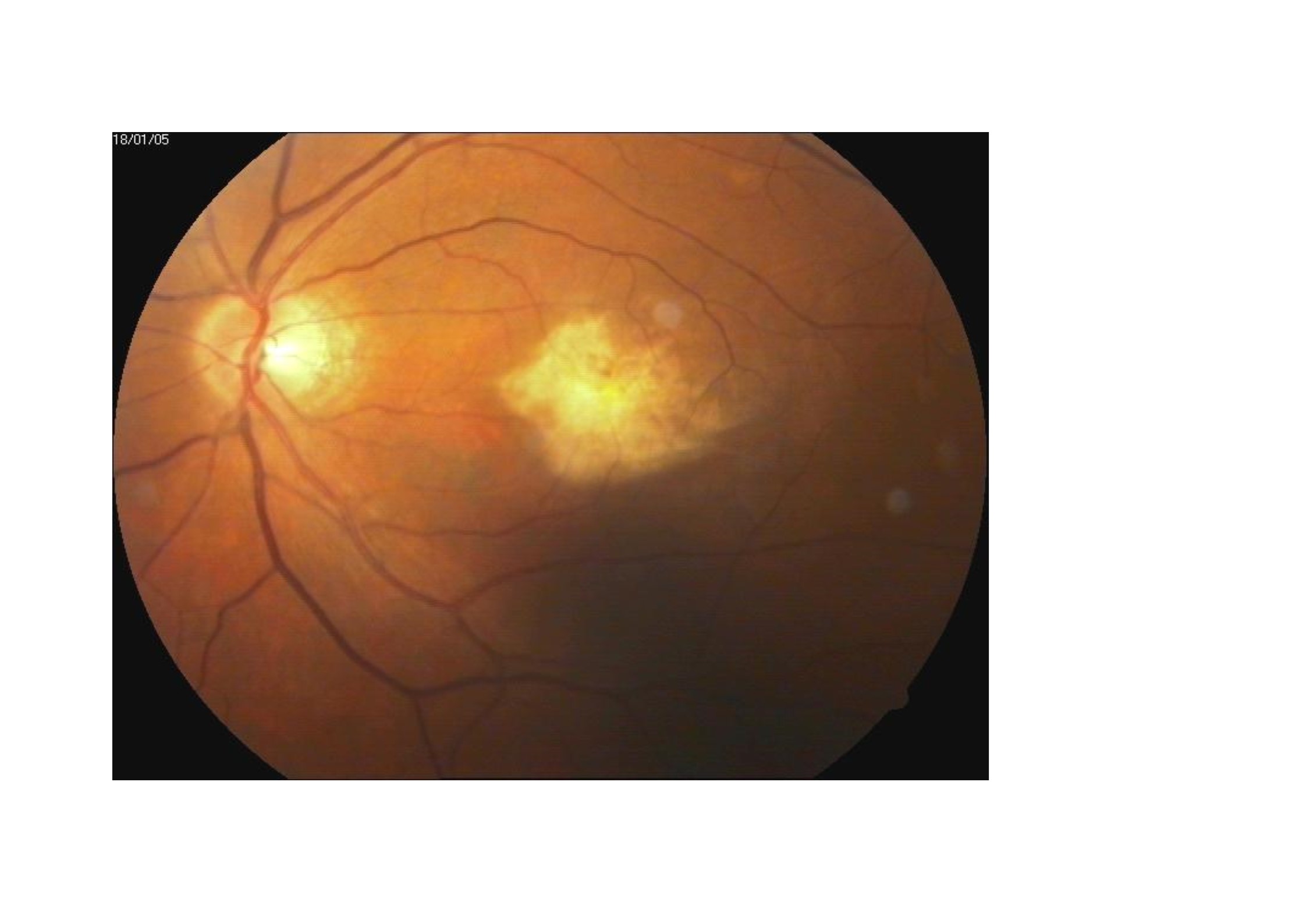
La DMAE en su forma “seca” se caracteriza por atrofia de la retina neurosensorial y del epitelio pigmentario. Recientemente la Dra JM Seddon (Ophthalmology, 2013), ha realizado un estudio prospectivo en 2.531 personas del AREDS (Age-Related Eye Disease Study) para estudiar si la progresión de la atrofia geográfica podía verse modificada con dietas ricas en ácidos grasos omega 3 teniendo en cuenta los 7 genes antes mencionados. Este grupo de estudio ha encontrado que una dieta rica en ácidos grasos omega 3 DHA (docosa-hexaenoico) retrasa la progresión de la atrofia geográfica en individuos homocigotos con el genotipo de riesgo ARMS2/HTRA1 pero no en individuos sin ese genotipo de riesgo (siempre teniendo en cuenta otros factores de riesgo como tabaquismo, etc.).
Las proteínas de los genes ARMS2 se han hallado en las membranas externas de las mitocondrias de los conos y bastones. Se cree que una disfunción mitocondrial puede ocasionar generación de especies de oxígeno reactivo induciendo muerte celular y otros problemas de regulación. Los ácidos grasos omega 3, especialmente DHA se han encontrado en altas concentraciones en cerebro y retina, con una alta concentración en los segmentos externos de los fotorreceptores. Se podría especular que una alta concentración de DHA podría reducir la presencia de especies reactivas de oxígeno o apoptosis probablemente causadas por disregulación de las proteínas vinculadas al gen AMRS2.
Si tienes alguna pregunta, duda o comentario, puedes realizarlos en nuestro perfil de facebook:

