Las retinografías digitales se emplearán en la formación de estudiantes de medicina.

Categorías
del blog

Categorías

Noticias
relacionadas

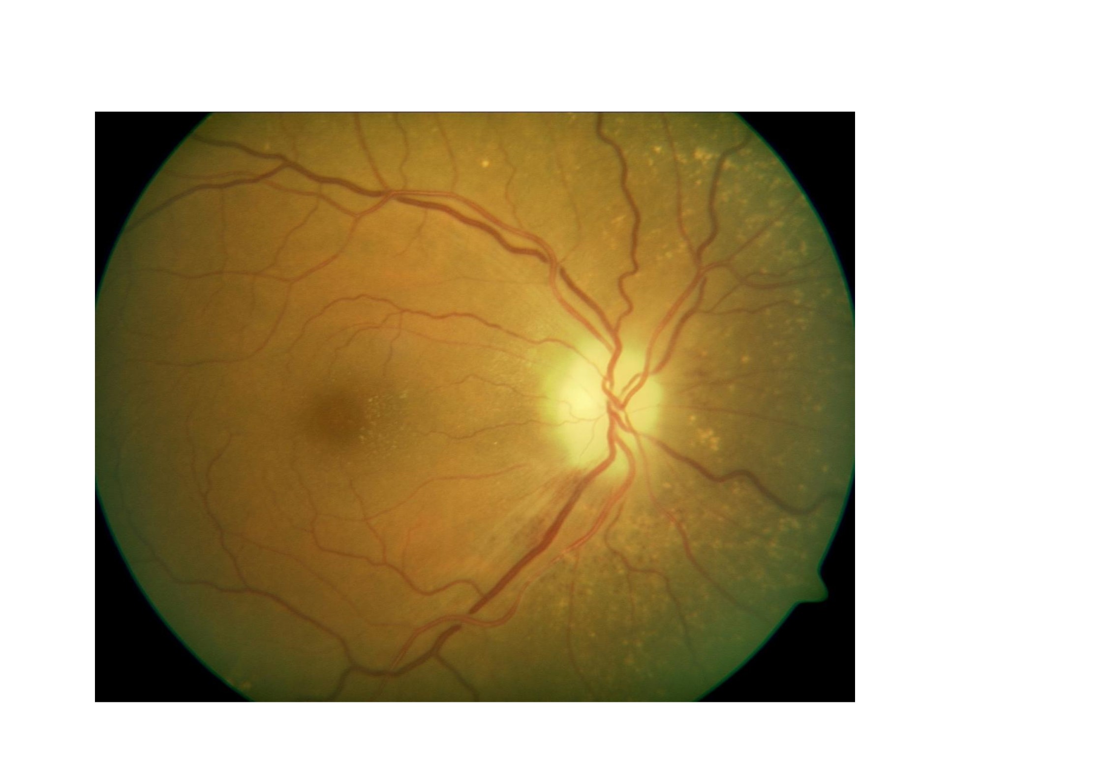
El examen de fondo de ojo es una exploración muchas veces decisiva para el diagnóstico de diversas enfermedades sitémicas tales como la hipertensión intracraneal,  la hipertensión arterial u otras. A veces los hallazgos que proporciona pueden ser críticos para el cuidado de pacientes afectados  de situaciones de urgencia que ponen en peligro la vida. Por este motivo existe un acuerdo generalizado en que los estudiantes de medicina y los médicos generales deben estar capacitados para realizar una exploración del fondo de ojo. Este acuerdo viene recogido en los estándares adoptados por diversos organismos internacionales tales como  la “Association of University Professors in Ophthalmology”.

Qvision Las retinografías digitales se emplearán en la formación de estudiantes de medicina. I03

 

 

 

A pesar de estas recomendaciones, la exploración del fondo de ojo se efectúa  infrecuentemente por los estudiantes de medicina. Por ejemplo, en un estudio (Lippa LM et al, Ophthalmology 2006), se calculó que los estudiantes de medicina de tercer año sólo realizaban la exploración del fondo de ojo en un 11% de las ocasiones en que estaba indicada su realización. Ello viene motivado porque el método disponible tradicionalmente por los médicos generales o pediatras ha sido el oftalmoscopio directo, el cual requiere un período de aprendizaje prolongado y cuya realización presenta unas evidentes limitaciones. Una de las principales limitaciones es que proporciona una imagen de un campo muy pequeño del fondo de ojo.

Qvision Las retinografías digitales se emplearán en la formación de estudiantes de medicina. imagen68

 

 

 

 

Las retinografías digitales se emplean ya en la práctica clínica como método de cribado de la retinopatía diabética, colaborando en esta tarea los médicos generales con los oftalmólogos. Pero la lógica dice que esto va a ir más lejos ya que es una técnica sencilla que podría implantarse pronto para el uso clínico por médicos generales en consultas o salas de urgencias. Los retinógrafos digitales no requieren midriasis, proporcionan imágenes de campo amplio de la retina y además se pueden archivar digitalmente.

Qvision Las retinografías digitales se emplearán en la formación de estudiantes de medicina. Retinograf%C3%ADa w480

fo_0000

 

 

 

 

 

 

 

 

Por este motivo, nos congratulamos del estudio realizado por Linda P Kelly y col recientemente (Am J Ophthalmol, 2013): “Teaching Ophjthalmoscopy to Medical Students” (the TOTeMS Study). En esta publicación, un 77% de  estudiantes de medicina de primer año mostró su preferencia hacia las retinografías digitales sobre el oftalmoscopio directo como método de aprendizaje de hallazgos relevantes en el fondo de ojo. El examen de fondo de ojo lo encontraron más sencillo y menos frustrante cuando utilizaron retinografías que cuando utilizaron el oftalmoscopio directo. Además, la precisión de las respuestas fue mejor cuando interpretaron las retinografías que cuando realizaron la exploración del fondo de ojo mediante el oftalmoscopio directo.

Si tienes alguna pregunta, duda o comentario, puedes realizarlos en nuestro muro de Facebook:

http://www.facebook.com/ClinicasQvision

 

Solicitar cita online

Rellena el siguiente formulario y nosotros nos pondremos en contacto contigo en el plazo más breve posible. Más información en el 950 21 71 71 o en el 950 65 98 01

Nombre y apellidos