Fasudil intravítreo como tratamiento del edema macular diabetico refractario

Categorías
del blog

Categorías

Noticias
relacionadas

Además de una sobre-expresión del factor de crecimiento vascular endotelial, recientemente se ha demostrado un incremento en la actividad de la ruta Rho/ROCK en los vasos retinianos de ratas diabéticas (1), que induce a la adhesión de leucocitos a las células endoteliales vasculares. Como consecuencia de esta elevada actividad se inactiva la síntesis endotelial de óxido nítrico (un potente vasodilatador y factor antiapoptótico). Por lo tanto, un daño celular endotelial retiniano en la retinopatía diabética ocurre como resultado de un incremento de la adhesión leucocitaria y una disminución de la síntesis de óxido nítrico endotelial.

em 1_0000

 

 

 

 

 

 

 

 

 

El clorhidrato de fasudil es una potente y selectiva quinasa inhibidora de ROCK, siendo un  potente vasodilatador que se ha utilizado en el tratamiento del vasoespasmo cerebral y en el tratamiento de la hipertensión pulmonar. Basándose en estudios previos en animales de experimentación, un grupo de investigadores de la University of Medical Sciences de Teherán (Irán) ha publicado su experiencia  con una combinación de inyección intravítrea de fasudil (0,025 mg/0,05 ml) y de bevacizumab (1,25 mg/0,05 ml) en una serie de 5 pacientes con edema macular refractario (2).

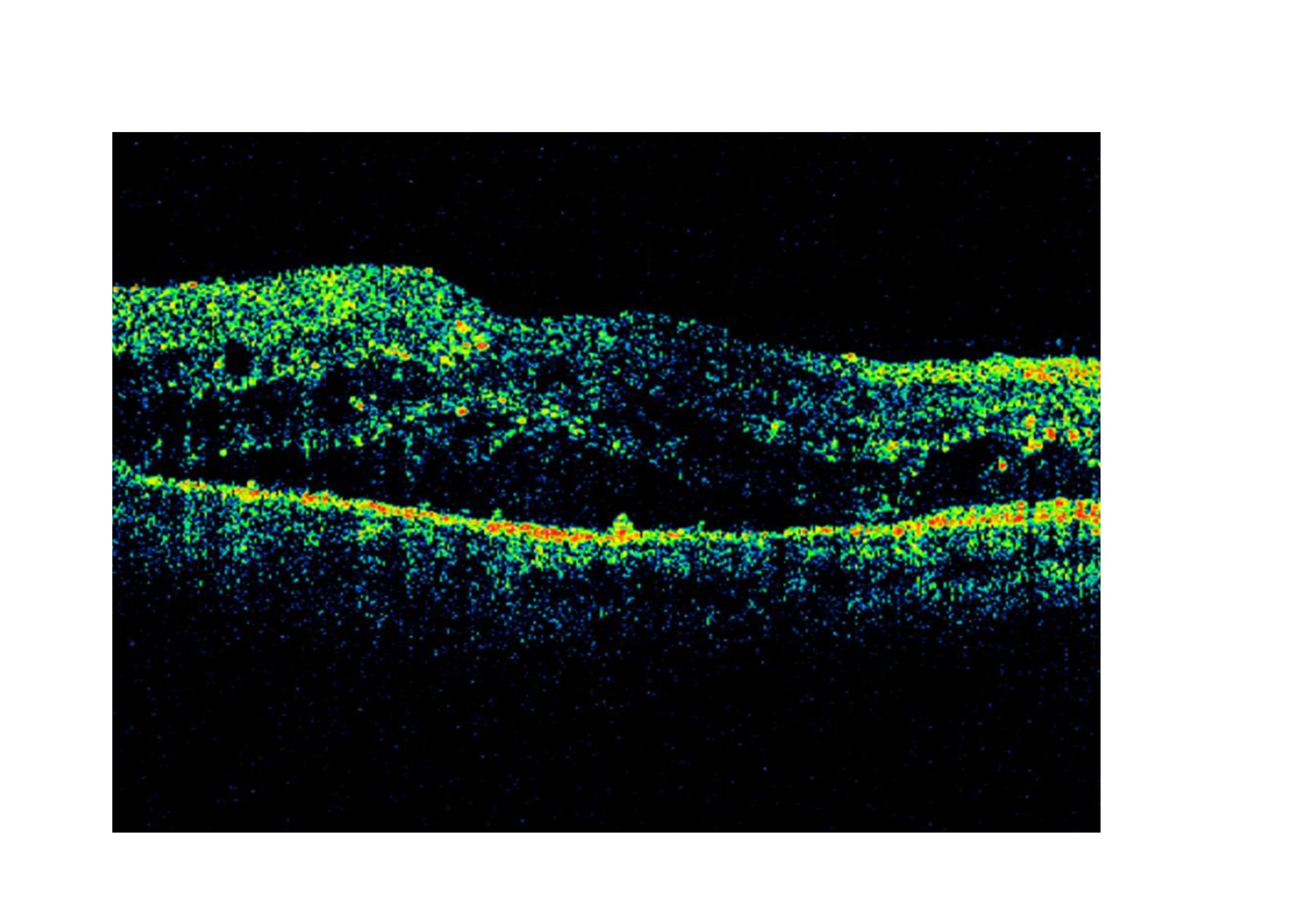
Las inyecciones las realizaron en jeringas distintas y en sitios separados, siendo seguidas de una paracentesis de cámara anterior. Todos los pacientes estaban afectados de edema macular diabético persistente que había sido tratado previamente con fotocoagulación láser y/ó inyecciones múltiples intravítreas de bevacizumab. La agudeza visual de los ojos tratados era en todos los casos de 20/50 o menor. La AV mejoró desde una media antes  del tratamiento de 0,82 (0,34) logMAR a 0,34 (0,26) log MAR 6 semanas después del tratamiento. El grosor macular central pasó de una media de 409 (74) micras a 314 (29) micras a los 6 meses del tratamiento. En ningún caso se encontró daño retiniano por toxicidad mediante electrorretinograma.

 

em 2_0000

 

 

 

 

 

 

 

Aunque se requieren estudios más amplios para confirmar estos resultados, la combinación de inyección intravítrea de fasudil y bevacizumab podría proporcionar buenos resultados en el tratamiento del edema macular diabético resistente al tratamiento.

(1) Arita R, Hata Y, Nakao S, et al. Rho kinase inhibition by fasudil ameliorates diabetes-induced microvascular damage. Diabetes. 2009; 58 (1): 215-216.

(2) Ahmadieh H , Nourinia R et al. Intravitreal fasudil combined with bevacizumab for persistent diabetic macular edema. JAMA Ophthalmology . 2013; 131 (7): 923-924.

Si tienes alguna pregunta, duda o comentario, puedes realizarlos en nuestro muro de Facebook:

para blog

 

 

 

 

Solicitar cita online

Rellena el siguiente formulario y nosotros nos pondremos en contacto contigo en el plazo más breve posible. Más información en el 950 21 71 71 o en el 950 65 98 01

Nombre y apellidos