En los últimos días hemos sido informados de una alerta médica por la Academia americana de cirugía refractiva y catarata (ASCRS) así como la Sociedad Americana de Especialistas en Retina (ASRS) por la aparición de vasculitis retiniana hemorrágica oclusiva (HORV) asociado presumiblemente al uso de vancomicina intracameral en la profilaxis de endoftalmitis tras cirugía de catarata.

Después de la publicaciones iniciales por Nicholson, en 2014 (1) con dos casos bilaterales (4 ojos) , y por Witkin, en 2015 (2) con 7 ojos de 4 pacientes. Recientemente han sido identificados al menos 16 casos adicionales, para un total de 22 casos, de los cuales 14 son bilaterales y 8 fueron unilaterales, un total de 36 ojos. Por lo que se ha formado un grupo conjunto de trabajo para analizar la prevalencia, etiología potencial, tratamiento y los resultados en esta complicación. Desarrollando un website para el registro de los nuevos casos, en www.asrs.org.
Existe una fuerte asociación al uso de vancomicina (intracameral e intravítrea), aunque aún no probada. Esta se cree que podría representar una rara reacción de hipersensibilidad de tipo III a la vancomicina, mas allá de una toxicidad directa. Pudiendo ser un efecto similar al encontrado en la vasculitis lecocitoclastica y la purpura de Henoch-Schonlein.
La presentación clínica suele ser retardada, con una media de aparición a los 8 días después de la cirugía de cataratas. los resultados visuales fueron a menudo pobres, 22/36 ojos (61%) tuvieron una visión de 0,1 o peor, y 8/36 (22%) tuvieron NPL.
Las características clínicas del HORV incluye los siguientes.
– Ocurre después de un procedimiento quirúrgico, habiendo tenido una exploración oftalmológica normal en las 24 hrs del postoperatorio.
– Aparición retrasada de disminución súbita indolora de agudeza visual (rango 1 -26 días posoperatorio; media 8 días).
– Agudeza visual a menudo es pobre al inicio, pero puede ser normal en algún caso.
– Leve o moderada inflamación en cámara anterior, sin hipopión.
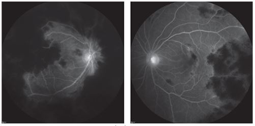
– Hemorragias intraretinianas sectoriales en áreas de no perfusión.
– Involucro de áreas retinianas periféricas con isquemia macular y blanqueamiento en casos avanzados.
– Vasculitis retiniana sectorial y oclusión vascular en la angiografía con fluoresceina, correspondiendo a áreas de hemorragia.
– Rápida progresión a glaucoma neovascular (53%).
Esta alerta por los últimos casos encontrados, nos debe hacer actuar con prudencia y mucha cautela. Sabemos de la efectividad y seguridad en el uso de antibióticos en la profilaxis de endoftalmitis y su auge en los últimos años, demostrando la utilidad de la cefuroxima intracameral, en la reducción del riesgo de endoftalmitis por cinco veces, estos resultados fueron publicados por la Sociedad Europea de Cirugía Refractiva y Catarata (ESCRS) en un estudio con 16,000 pacientes, en el 2007 (3). En otro reciente estudio (2015) retrospectivo, se reporta una reducción en las tasas de endoftalmitis con la profilaxis de vancomicina intracameral durante la cirugía de cataratas, con ningún caso de toxicidad demostrado en cerca de 10,000 ojos (4). Debido a que el HORV parece ser extremadamente raro, cada cirujano deberá sopesar el riesgo potencial de la aparición de HORV asociado con vancomicina contra el riesgo de endoftalmitis.
Si tienes alguna pregunta, duda o comentario puedes hacerla en nuestro muro de facebook:
Bibliografía:
1.- Nicholson LB, Kim BT, Jardon J, et al. Severe bilateral ischemic retinal vasculitis following cataract surgery. Ophthalmic Surg Lasers Imaging Retina 2014;45:338-342.
2.- Witkin AJ, Shah AR, Engstrom RE, Kron-Gray MM, et al. Postoperative hemorrhagic occlusive retinal vasculitis. Expanding the clinical spectrum and possible association with vancomycin. Ophthalmology 2015; 122:1438-1451.
3.- Endophthalmitis Study Group, European Society of Cataract & Refractive Surgeons. Prophylaxis of postoperative endophthalmitis following cataract surgery: results of the ESCRS multicenter study and identification of risk factors. J Cataract Refract Surg 2007; 33: 978-88
4.- Rush SW, Vu D, Rush RB. The safety and efficacy of routine administration of intracameral vancomycin during cataract surgery. J Ophthalmol. 2015;2015:813697.
 
								 
				 
 
 
														
 
								 
								 
 
								