Hoy en este blog os vamos a hablar de una de las enfermedades inflamatorias Coriorretinianas de causa no infecciosas
El Síndrome de Puntos Blancos evanescentes es una patología poco frecuente de etiología desconocida y de curso benigno. Afecta a adultos jóvenes sanos con edades entre los 20 y 40 años y con un predominio claro en sexo femenino.
En general el proceso es unilateral y agudo.
El diagnóstico al comienzo puede ser difícil, porque en su inicio se puede confundir con otras patologías de peor evolución.
SIGNOS Y SINTOMAS
Los pacientes presentan visión central borrada, agudeza visual disminuida en el ojo afectado, fotopsias, escotomas paracentrales o aumento del punto ciego y cefaleas ocasionales.
El examen en la lámpara de hendidura mostraba unas características normales.
Con PIO normal.
En Fundoscopia la mácula suele aparecer con un patrón granular. Pueden existir infiltraciones perivasculares y células inflamatorias en el vítreo posterior.
Este síndrome es caracterizado por múltiples manchas pequeñas de color blanco-grisáceo de una 100-200 micras a nivel del epitelio pigmentario de la retina en el polo posterior y preservando la fóvea. Las manchas blancas desaparecen espontáneamente en 2 meses.
En Campo Visual se aprecia aumento de la mancha ciega.
Pruebas electrofisiológicas alteradas.
En AGF se observó una hiperfluorescencia temprana de las lesiones y aumentaban hasta tiempos tardíos.
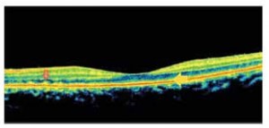
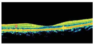
En la Tomografia de coherencia u OCT se aprecian acúmulos de material en forma de domo (flecha roja), correspondientes a las lesiones amarillentas observadas clínicamente.
Suele remitir solo aunque en algunos casos precisan de tratamiento con corticoides
En la mayoría de los casos cursa de modo unilateral y no recurrente. Tan solo en el 25% de los casos se presenta bilateral pero no asimétrico
Las lesiones del fondo de ojo suelen desaparecer de manera espontánea en un período variable, entre 6-10 semanas, aunque en ocasiones puede persistir una cierta alteración del epitelio pigmentario.
Si tienes alguna pregunta, duda o comentario puedes realizármela en nuestro muro de facebook:



